Načítám...

Umírá se na COVID, nebo s COVID?

V souvislosti s onemocněním COVID se v médiích objevují i někteří lékaři, kteří tvrdí, že v případě smrti „na COVID“ jde ve skutečnosti obvykle o smrt „s COVID“. Tvrzení se rozšířilo nejen v České republice, takže třeba v sousedním Německu vydali koncem srpna patologové prohlášení, že podle jejich údajů, v Německu 86 % úmrtí v souvislosti s infekcí SARS-CoV-2 bylo zapříčiněno COVIDem. Podobné hodnoty prezentují ve svém dříve publikovaném článku soudní lékaři v Hamburku.

Jak si ale mohou být jistí, že dotyčný zemřel v důsledku infekce? Zásadní krok je zjištění toho, na jaké receptory se podezřelý vir váže a ve kterých orgánech jsou tyto receptory hojné. SARS-CoV-2 se váže na receptory ACE2 a tyto jsou hojné zejména v plicích a také v tenkém střevě, ale v menším množství i v celé řadě dalších orgánů. Postižení trávicího traktu není neobvyklé, ale jen vzácně je smrtelné. Pozornost by se proto měla zaměřit na plíce, tedy na to, jakou roli hrají plíce u smrti nemocných s COVIDem.

Pitevní nález první německé oběti COVIDu němečtí lékaři publikovali, takže se jim lze pomyslně podívat přes rameno. Pitevnímu nálezu dominovaly změny plic. Plíce byly už na pohled oteklé a překrvené, ovšem bez patrného hnisu. Při mikroskopickém vyšetření bylo patrné poškození plic nazývané difúzní alveolární poškození. Takové změny mohou doprovázet virovou infekci i šok. Pro podíl virové infekce svědčí průkaz velkého množství virů v plicích, průkaz virů ve sliznici dýchacích cest, změny sliznice dýchacích cest odpovídající těžké virové infekci a to, že například v ledvinách nebyly zachyceny změny svědčící pro rozvíjející se šok. Změny v játrech, tzv. centroacinární nekróza, mohou být vysvětleny tím, že poškozené plíce před smrtí nestačily k výměně dýchacích plynů a nemocný neměl dostatek kyslíku.

Jedna pitva samozřejmě nestačí. Pitev bylo provedeno více, Ackermann a kol. dokonce publikovali výsledky srovnávacích pitev COVID a chřipky. Vedle těžkého postižení plic společného pro chřipku i COVID se objevovalo i postižení cév včetně cév plicních. Další pitevní série přišla s potvrzením poškození plic, možným poškozením cév a dalšími nálezy, které ale mohly odpovídat tomu, že se u umírajících začal v důsledku předchozích změn rozvíjet šok. Nálezy z podobných publikací pitevních nálezů bylo možné zobecnit a tak vyšel přehledový článek shrnující histopatologický nález při pitvách. Vedle již zmíněného postižení plic v podobě difúzního alveolárního poškození, zánětlivé infiltrace slučitelné s předpokladem virové infekce a přítomnosti krevních sraženin (trombů) v malých cévách bylo zachyceno zejména postižení kardiovaskulárního systému včetně postižení mozkových cév, ledvin a také změny krvetvorné a lymfatické tkáně. Některé tyto změny mohou souviset se systémovým zánětem, některé mohou být další komplikací COVIDu, ale stáří a závažnost změn ukazují, že prvotní problém nastal v plicích.

Pitevní nález je ale stále poměrně spekulativní, opírá se o nejlepší možná vysvětlení toho, co je vidět na pitevně, pod mikroskopem a případně o výsledky průkazu viru. Pro spolehlivé potvrzení, že je mikroorganismus skutečně původcem onemocnění, je třeba ukázat, že mikroorganismus sám je schopen vyvolat u vnímavého organismu onemocnění. Protože by nebylo etické nakazit pokusné osoby, je třeba hledat modelové organismy schopné nákazy. Takových organismů je několik, např. makak, kočka, fretka nebo myš. Problém těchto modelů je, že na nákazu nereagují až tak docela jako člověk. Na konci srpna byla publikována práce popisující geneticky upravenou myš exprimující v plicích lidský receptor ACE2. Po vpravení SARS-CoV-2 do nosu se u myši objevilo plicní postižení odpovídající tomu, jaké se objevuje u lidí. Práce nebyla zamýšlena jako průkaz toho, že SARS-CoV-2 postihuje plíce, k tomu jsou důkazy dostatečné, cílem práce bylo zkonstruovat vhodný model, na kterém by bylo možné lépe studovat onemocnění. To, že jde o další potvrzení toho, že SARS-CoV-2 může vyvolat těžké postižení plic, je zajímavé spíše akademicky.

Co ale těch o něco víc než deset procent mrtvých, kteří nezemřeli na COVID? Ani u těch nelze bezpečně tvrdit, že jejich smrt byla bez věcné souvislosti s COVIDem. Probíhající infekce SARS-CoV-2 totiž zvyšuje riziko akutních kardiovaskulárních onemocnění. Pokud tedy někdo s nemocí COVID zemře třeba na infarkt myokardu, mohla sama infekce zvýšit riziko, že k infarktu dojde. Na základě dostupných dat lze tedy bezpečně prohlásit, že smrt nemocného s COVID většinou s COVID souvisí, jen v menší části případů pak smrt s nákazou nesouvisí.

Protože zemřelí v souvislosti s COVID mívají obvykle i další choroby, nabízí se přirozeně otázka, o kolik jim nemoc zkrátila život. Na seriózní posouzení je třeba epidemiologická analýza. Nicméně na základě publikovaných pitevních nálezů lze konstatovat, že tvrzení, že v souvislosti s COVIDem umírají vesměs již prakticky umírající, je neobhajitelné.



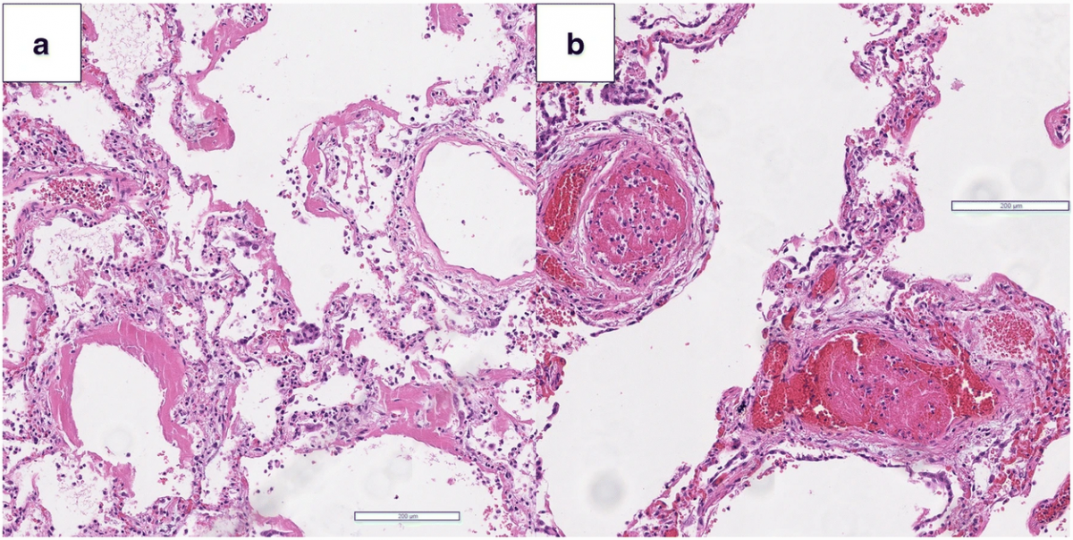
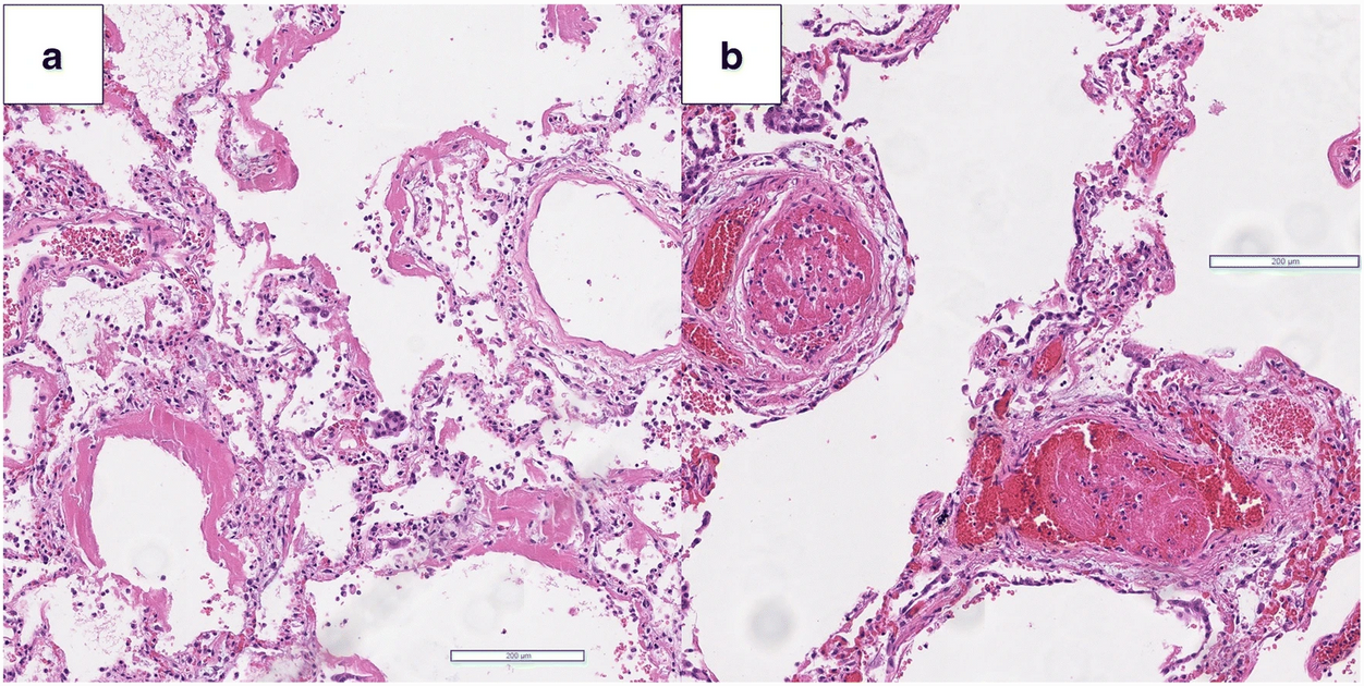
Mikroskopický snímek plic pacienta, který zemřel na COVID, barvení hematoxylin-eosin. a) Výrazné hyalinní membrány, mononukleární zánětlivá infiltrace (zvětšení 50×), b) drobné krevní sraženiny (trombemboly) v malých cévách (zvětení 10×). Zdroj: Heinrich F et al. Germany’s first COVID-19 deceased: a 59-year-old man presenting with diffuse alveolar damage due to SARS-CoV-2 infection. Virchows Archiv 2020;477:335-339. Snímek je uvolněn s licencí CC-BY-4.0.


Kam dál?

Ne, Plandemic není dokumentární film Zobrazit

Ne, Plandemic není dokumentární film

Možná jste již zaznamenali nové video kolující po internetu s názvem Plandemic. Jedná se o rozhovor s viroložkou Judy Mikovits, který ve vás má vzbudit dojem, že Covid-19 je jedná velká, naplánovaná pandemie. Proč se nejedná o dokumentární film, jaké nepřesnosti, polopravdy a lži ve videu jsou a jaké jsou užité techniky pro maximální působivost?
St 13. 5. 2020 Přečíst
Věda v hlavní roli Zobrazit

Věda v hlavní roli

Ta zpráva způsobila mezi skeptiky mírný rozruch: Prý se o vědě, potažmo o jejích obráncích ve spolku...
St 31. 10. 2018 Přečíst
Léčba homöopathická Zobrazit

Léčba homöopathická

Komplexní i elektrická homöopathie je podvod s nátěrem vědy a kdo ji rozšiřuje, je vyděrač a nepřítel lidstva. Nic na tom nezáleží, že mnoho lidí chválí výsledky. Ty jsou u každé, i sebe hloupější methody, protože ani nemocní ani fušéři nedělají správné diagnosy. Když zrnéčka homöopatů vyléčí rakovinu, jsou zbytečná studia lékařů. Kapitoly "Léčba homöopathická" a "Komplexní homöopathie a elektrohomöopathie" z knihy Jan Šimsa: Přírodní léčba a domácí lékař: praktický populární popis všech method přírodoléčebných, fysikálních a dietetických, dále popis nemocí, jich příčin, jak jim předcházeti a jak je osvědčenými domácími prostředky léčiti, díl II. Praha: Strnadel a spol. 1923.
Út 14. 1. 2020 Přečíst
A co když někdo s COVID zemře při autonehodě? Zobrazit

A co když někdo s COVID zemře při autonehodě?

Stručná informace o principu hlášení "úmrtí na COVID" ve zdravotnických statistikách.
Út 14. 4. 2020 Přečíst
Tento web používá k poskytování služeb, personalizaci reklam a analýze návštěvnosti soubory cookie.
Používáním tohoto webu s tím souhlasíte.
Další informace